矯正治療の症例紹介
症例から選ぶ
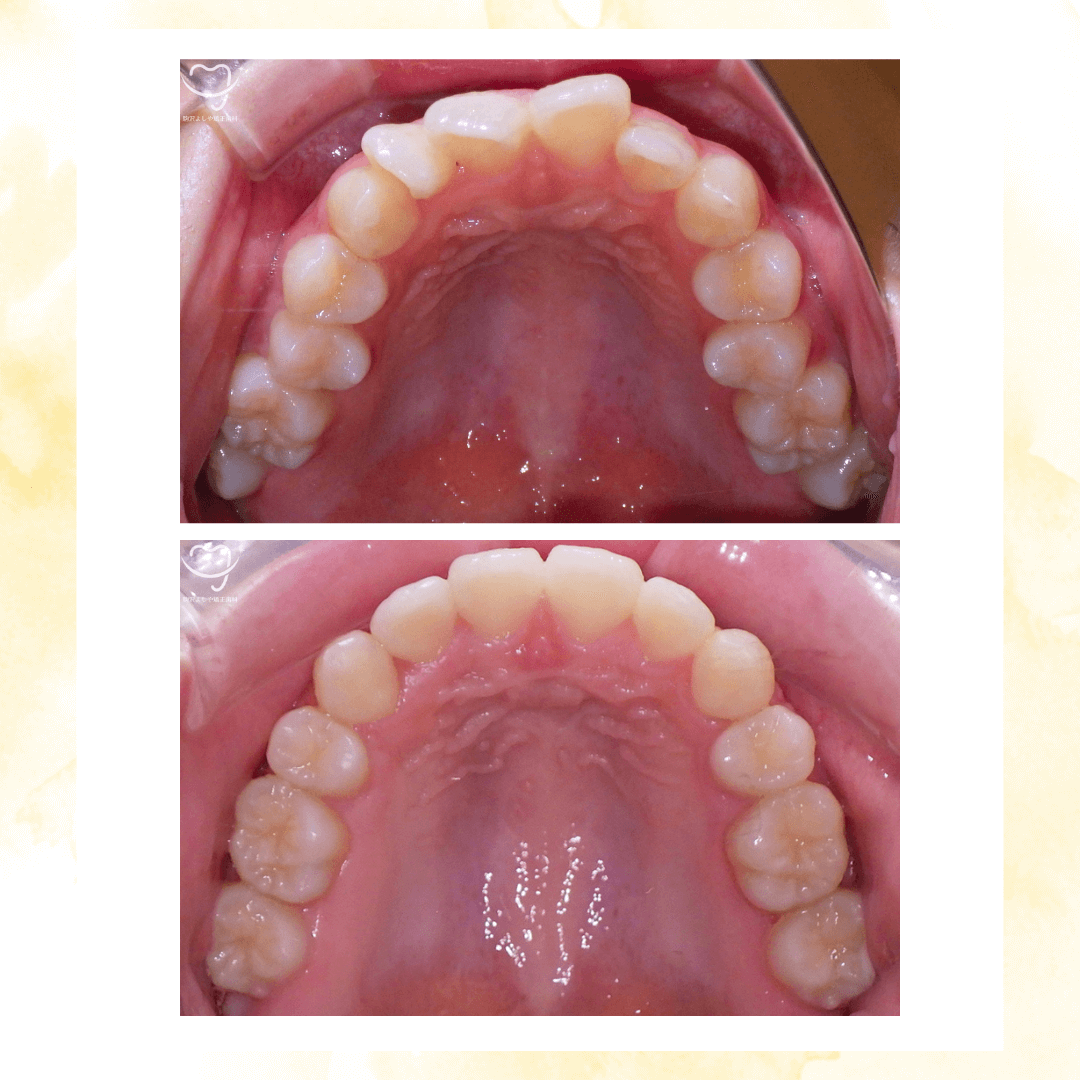
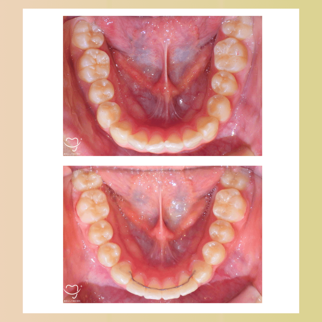
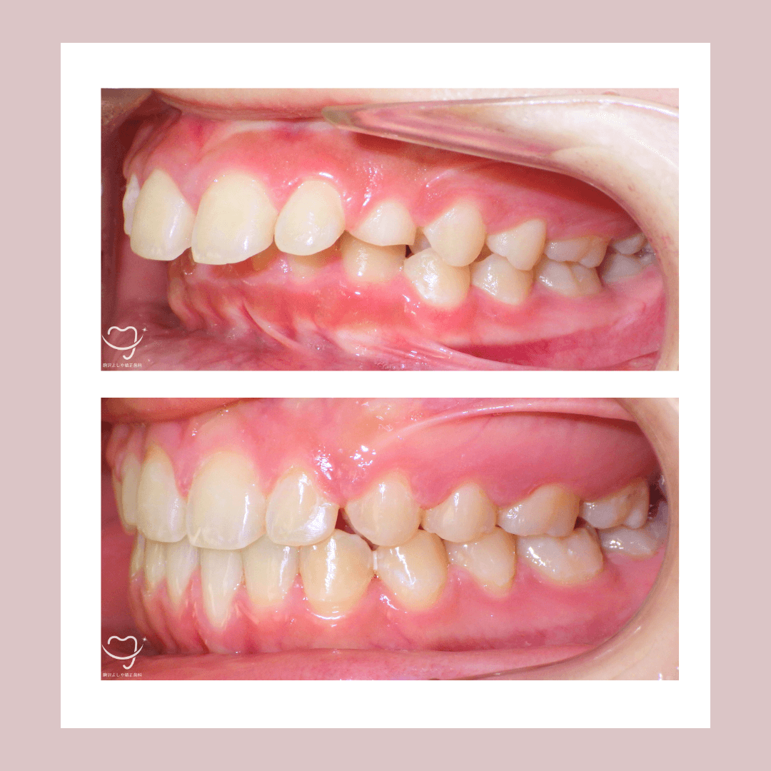
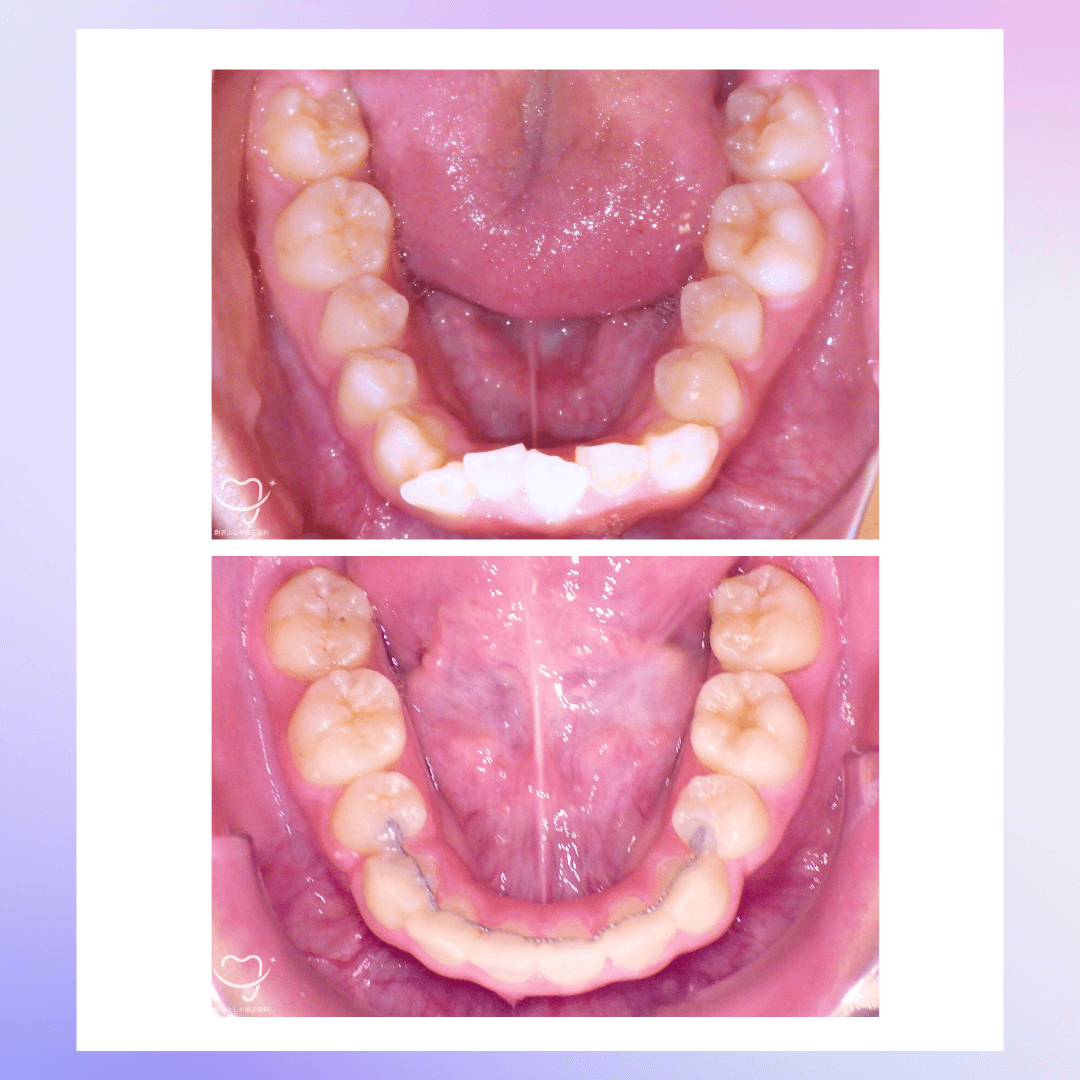
デコボコ








| 患者様の年齢(初診時) | 20歳0か月 |
|---|---|
| 治療期間 | 1年9か月 |
| 主訴 | 上の前歯が出ているのが気になる ガタガタな歯立びが気になる |
| 診断名 あるいは 主な症状 |
・出っ歯(overjet) ・叢生(crowding) ・過蓋咬合(deepbite) ・ミッドライン不一致(midlineshift) ・交叉咬合(crossbite) ・イーライン不調和(eline) |
| 治療に 用いた 主な装置 |
※マルチブラケット (セルフライゲーションブラケット装置(クリッピー、デーモンシステム)) ※ホールディングアーチ ※顎間ゴム |
| 抜歯部位 | 上下左右の小臼歯 (右上4番、左上4番、 右下5番、左下5番)計4本 |
| 矯正治療 の内訳 (治療費 概算) |
1.精密検査料金:44,000円 2.基本矯正料金:880,000円 3.処置料金:6,600円x21回分 合計:1,062,600円 |
| リスクと 副作用 |
・歯肉の退縮がさらに悪化する可能性があります。 ・装置使用の頑張りにより、治療期間や治療結果が変わります。 ・歯の形によってブラックトライアングル(歯と歯肉の間の隙間)が生じることで、歯肉が退縮したように見える場合があります。 ・保定装置を指導通りにお使い頂けない場合は、歯並びが元の状態に戻る傾向があります。 また、保定期間が終了した後でも歯並びが変化することがあります。 |
※マルチブラケット装置:歯にブラケットを付けてワイヤーを通し、歯を動かす矯正装置です。
幅広い症例に対応でき、歯を正確に動かします。固定式で、患者様自身で取り外しはできません。
当院ではセルフライゲーションブラケット装置(クリッピー、デーモンシステム)を導入しており、
ワイヤーをゴムで固定せずシャッターで保持するため、摩擦が少なく痛みが軽減され、治療期間も短縮されます。
※ホールディングアーチ:矯正治療で使用される装置で、小臼歯を抜歯した後に歯列を安定させます。
この装置は上顎の奥歯に固定され、抜歯後のスペースが自然に閉じるのを防ぎ、他の歯が動かないようにします。
特に永久歯を抜歯する矯正治療でよく使用されます。
※顎間ゴム:矯正治療で使う小さな輪ゴムです。
上顎と下顎の装置に取り付け、歯を動かす力を補助します。
患者様が毎日自分で装着し、噛み合わせや歯列の調整に役立ちます。
ゴムのサイズや強さは、症状や治療段階に応じて選ばれます。
出っ歯








| 患者様の年齢(初診時) | 15歳0か月 |
|---|---|
| 治療期間 | 1年5か月 |
| 主訴 | 上の前歯が出ているのが気になる |
| 診断名 あるいは 主な症状 |
・出っ歯(overjet) ・大臼歯関係Ⅱ級(classⅡlmalocclusion) ・空際歯列(spacedarch) |
| 治療に 用いた 主な装置 |
※マルチブラケット (セルフライゲーションブラケット装置(クリッピー、デーモンシステム)) ※顎間ゴム |
| 抜歯部位 | 上顎左右の小臼歯 (右上4番、左上4番) 計2本 |
| 矯正治療 の内訳 (治療費 概算) |
1.精密検査料金:44,000円 2.基本矯正料金:880,000円 3.処置料金:6,600円x17回分 合計:1,036,200円 |
| リスクと 副作用 |
・装置使用の頑張りにより、治療期間や治療結果が変わります。
・歯の形によってブラックトライアングル(歯と歯肉の間の隙間)が生じることで、歯肉が退縮したように見える場合があります。 ・保定装置を指導通りにお使い頂けない場合は、歯並びが元の状態に戻る傾向があります。 また、保定期間が終了した後でも歯並びが変化することがあります。 ・歯を動かすことにより、歯根が吸収して短くなることがあります。 |
※マルチブラケット装置:歯にブラケットを付けてワイヤーを通し、歯を動かす矯正装置です。
幅広い症例に対応でき、歯を正確に動かします。固定式で、患者様自身で取り外しはできません。
当院ではセルフライゲーションブラケット装置(クリッピー、デーモンシステム)を導入しており、
ワイヤーをゴムで固定せずシャッターで保持するため、摩擦が少なく痛みが軽減され、治療期間も短縮されます。
※顎間ゴム:矯正治療で使う小さな輪ゴムです。
上顎と下顎の装置に取り付け、歯を動かす力を補助します。
患者様が毎日自分で装着し、噛み合わせや歯列の調整に役立ちます。
ゴムのサイズや強さは、症状や治療段階に応じて選ばれます。
受け口







| 患者様の年齢(初診時) | 14歳6か月 |
|---|---|
| 治療期間 | 2年1か月 |
| 主訴 | 受け口が気になる |
| 診断名 あるいは 主な症状 |
受け口(underbite) |
| 治療に 用いた 主な装置 |
※マルチブラケット (セルフライゲーションブラケット装置(クリッピー、デーモンシステム)) ※フェイスマスク (上顎前方牽引装置) |
| 抜歯部位 | なし |
| 矯正治療 の内訳 (治療費 概算) |
1.精密検査料金:44,000円 2.基本矯正料金:440,000円 3.処置料金:6,600円x25回分 合計:649,000円 |
| リスクと 副作用 |
・歯肉の退縮がさらに悪化する可能性があります。 ・装置使用の頑張りにより、治療期間や治療結果が変わります。 ・歯の形によってブラックトライアングル(歯と歯肉の間の隙間)が生じることで、歯肉が退縮したように見える場合があります。 ・保定装置を指導通りにお使い頂けない場合は、歯並びが元の状態に戻る傾向があります。 また、保定期間が終了した後でも歯並びが変化することがあります。 ・歯を動かすことにより、歯根が吸収して短くなることがあります。 |
※マルチブラケット装置:歯にブラケットを付けてワイヤーを通し、歯を動かす矯正装置です。
幅広い症例に対応でき、歯を正確に動かします。固定式で、患者様自身で取り外しはできません。
当院ではセルフライゲーションブラケット装置(クリッピー、デーモンシステム)を導入しており、
ワイヤーをゴムで固定せずシャッターで保持するため、摩擦が少なく痛みが軽減され、治療期間も短縮されます。
※フェイスマスク(上顎前方牽引装置):上顎を前に引っ張るための矯正装置です。主に受け口の治療に使われ、
上顎の成長を助けて噛み合わせを改善します。
この装置は、口の中の固定具と外側のフェイスマスクをゴムでつなぎ、主に夜間に使います。
特に7歳前後のお子様に適しており、1日10時間以上の装着が効果的です。
すきっ歯








| 患者様の年齢(初診時) | 14歳6か月 |
|---|---|
| 治療期間 | 1年5か月 |
| 主訴 | 上の前歯の隙間と出ているのが気になる |
| 診断名 あるいは 主な症状 |
・出っ歯(overjet) ・過蓋咬合(deepbite) ・矮小歯(smallteeth) ・正中離開(toothgap) ・先天欠如歯(hypodontia) ・ミッドライン不一致(midlineshift) |
| 治療に 用いた 主な装置 |
※マルチブラケット (セルフライゲーションブラケット装置(クリッピー、デーモンシステム)) ※ホールディングアーチ |
| 抜歯部位 | 上顎左右の小臼歯・乳歯 (右上4番、左上C)計2本 |
| 矯正治療 の内訳 (治療費 概算) |
1.精密検査料金:44,000円 2.基本矯正料金:880,000円 3.処置料金:6,600円x17回分 合計:1,036,200円 |
| リスクと 副作用 |
・歯の形によってブラックトライアングル(歯と歯肉の間の隙間)が生じることで、歯肉が退縮したように見える場合があります。
・保定装置を指導通りにお使い頂けない場合は、歯並びが元の状態に戻る傾向があります。 また、保定期間が終了した後でも歯並びが変化することがあります。 ・矯正治療後にかぶせ物(補綴物) などをやりなおす可能性があります。 ・歯を動かすことにより、歯根が吸収して短くなることがあります。 |
※マルチブラケット装置:歯にブラケットを付けてワイヤーを通し、歯を動かす矯正装置です。
幅広い症例に対応でき、歯を正確に動かします。固定式で、患者様自身で取り外しはできません。
当院ではセルフライゲーションブラケット装置(クリッピー、デーモンシステム)を導入しており、
ワイヤーをゴムで固定せずシャッターで保持するため、摩擦が少なく痛みが軽減され、治療期間も短縮されます。
※ホールディングアーチ:矯正治療で使用される装置で、小臼歯を抜歯した後に歯列を安定させます。
この装置は上顎の奥歯に固定され、抜歯後のスペースが自然に閉じるのを防ぎ、他の歯が動かないようにします。
特に永久歯を抜歯する矯正治療でよく使用されます。
口が閉じない








| 患者様の年齢(初診時) | 14歳6か月 |
|---|---|
| 治療期間 | 2年2か月 |
| 主訴 | 上の前歯の並びが気になる |
| 診断名 あるいは 主な症状 |
・出っ歯(overjet) ・交叉咬合(crossbite) ・叢生(crowding) ・開咬(openbite) ・ミッドライン不一致 (midlineshift) |
| 治療に 用いた 主な装置 |
※マルチブラケット (セルフライゲーションブラケット装置(クリッピー、デーモンシステム)) ※ホールディングアーチ |
| 抜歯部位 | 上下左右の小臼歯 (右上5番、左上4番、 左下5番)計3本 |
| 矯正治療 の内訳 (治療費 概算) |
1.精密検査料金:44,000円 2.基本矯正料金:880,000円 3.処置料金:6,600円x26回分 合計:1,095,600円 |
| リスクと 副作用 |
・装置使用の頑張りにより、治療期間や治療結果が変わります。
・歯の形によってブラックトライアングル(歯と歯肉の間の隙間)が生じることで、歯肉が退縮したように見える場合があります。 ・保定装置を指導通りにお使い頂けない場合は、歯並びが元の状態に戻る傾向があります。 また、保定期間が終了した後でも歯並びが変化することがあります。 ・歯を動かすことにより、歯根が吸収して短くなることがあります。 |
※マルチブラケット装置:歯にブラケットを付けてワイヤーを通し、歯を動かす矯正装置です。
幅広い症例に対応でき、歯を正確に動かします。固定式で、患者様自身で取り外しはできません。
当院ではセルフライゲーションブラケット装置(クリッピー、デーモンシステム)を導入しており、
ワイヤーをゴムで固定せずシャッターで保持するため、摩擦が少なく痛みが軽減され、治療期間も短縮されます。
※ホールディングアーチ:矯正治療で使用される装置で、小臼歯を抜歯した後に歯列を安定させます。
この装置は上顎の奥歯に固定され、抜歯後のスペースが自然に閉じるのを防ぎ、他の歯が動かないようにします。
特に永久歯を抜歯する矯正治療でよく使用されます。
深い噛み合わせ








| 患者様の年齢(初診時) | 14歳6か月 |
|---|---|
| 治療期間 | 1年5か月 |
| 主訴 | 上の前歯の隙間と出ているのが気になる |
| 診断名 あるいは 主な症状 |
・出っ歯(overjet) ・過蓋咬合(deepbite) ・矮小歯(smallteeth) ・正中離開(toothgap) ・先天欠如歯(hypodontia) ・ミッドライン不一致(midlineshift) |
| 治療に 用いた 主な装置 |
※マルチブラケット (セルフライゲーションブラケット装置(クリッピー、デーモンシステム)) ※ホールディングアーチ |
| 抜歯部位 | 上顎左右の小臼歯・乳歯 (右上4番、左上C)計2本 |
| 矯正治療 の内訳 (治療費 概算) |
1.精密検査料金:44,000円 2.基本矯正料金:880,000円 3.処置料金:6,600円x17回分 合計:1,036,200円 |
| リスクと 副作用 |
・歯の形によってブラックトライアングル(歯と歯肉の間の隙間)が生じることで、歯肉が退縮したように見える場合があります。 ・保定装置を指導通りにお使い頂けない場合は、歯並びが元の状態に戻る傾向があります。 また、保定期間が終了した後でも歯並びが変化することがあります。 ・矯正治療後にかぶせ物(補綴物) などをやりなおす可能性があります。 ・歯を動かすことにより、歯根が吸収して短くなることがあります。 |
※マルチブラケット装置:歯にブラケットを付けてワイヤーを通し、歯を動かす矯正装置です。
幅広い症例に対応でき、歯を正確に動かします。固定式で、患者様自身で取り外しはできません。
当院ではセルフライゲーションブラケット装置(クリッピー、デーモンシステム)を導入しており、
ワイヤーをゴムで固定せずシャッターで保持するため、摩擦が少なく痛みが軽減され、治療期間も短縮されます。
※ホールディングアーチ:矯正治療で使用される装置で、小臼歯を抜歯した後に歯列を安定させます。
この装置は上顎の奥歯に固定され、抜歯後のスペースが自然に閉じるのを防ぎ、他の歯が動かないようにします。
特に永久歯を抜歯する矯正治療でよく使用されます。
上下顎前突







| 患者様の年齢(初診時) | 19歳9か月 |
|---|---|
| 治療期間 | 2年5か月 |
| 主訴 | 上の前歯の歯並びが気になる 矯正治療が必要か相談したい 歯を抜かずに矯正してみたい |
| 診断名 あるいは 主な症状 |
叢生(crowding) |
| 治療に 用いた 主な装置 |
※マルチブラケット (セルフライゲーションブラケット装置(クリッピー、デーモンシステム)) ※ホールディングアーチ |
| 抜歯部位 | 上下左右の小臼歯 (右上4番、左上4番、 右下5番、左下5番)計4本 |
| 矯正治療 の内訳 (治療費 概算) |
1.精密検査料金:44,000円 2.基本矯正料金:880,000円 3.処置料金:6,600円x29回分 合計:1,115,400円 |
| リスクと 副作用 |
・歯の形によってブラックトライアングル(歯と歯肉の間の隙間)が生じることで、歯肉が退縮したように見える場合があります。
・保定装置を指導通りにお使い頂けない場合は、歯並びが元の状態に戻る傾向があります。 また、保定期間が終了した後でも歯並びが変化することがあります。 ・歯を動かすことにより、歯根が吸収して短くなることがあります。 |
※マルチブラケット装置:歯にブラケットを付けてワイヤーを通し、歯を動かす矯正装置です。
幅広い症例に対応でき、歯を正確に動かします。固定式で、患者様自身で取り外しはできません。
当院ではセルフライゲーションブラケット装置(クリッピー、デーモンシステム)を導入しており、
ワイヤーをゴムで固定せずシャッターで保持するため、摩擦が少なく痛みが軽減され、治療期間も短縮されます。
※ホールディングアーチ:矯正治療で使用される装置で、小臼歯を抜歯した後に歯列を安定させます。
この装置は上顎の奥歯に固定され、抜歯後のスペースが自然に閉じるのを防ぎ、他の歯が動かないようにします。
特に永久歯を抜歯する矯正治療でよく使用されます。
交叉咬合








| 患者様の年齢(初診時) | 14歳2か月 |
|---|---|
| 治療期間 | 2年3か月 |
| 主訴 | 受け口が気になる |
| 診断名 あるいは 主な症状 |
受け口(underbite) |
| 治療に 用いた 主な装置 |
※マルチブラケット (セルフライゲーションブラケット装置(クリッピー、デーモンシステム)) |
| 抜歯部位 | なし |
| 矯正治療 の内訳 (治療費 概算) |
1.精密検査料金:44,000円 2.基本矯正料金:880,000円 3.処置料金:6,600円x25回分 合計:1,089,000円 |
| リスクと 副作用 |
・歯の形によってブラックトライアングル(歯と歯肉の間の隙間)が生じることで、歯肉が退縮したように見える場合があります。
・保定装置を指導通りにお使い頂けない場合は、歯並びが元の状態に戻る傾向があります。 また、保定期間が終了した後でも歯並びが変化することがあります。 ・歯を動かすことにより、歯根が吸収して短くなることがあります。 |
※マルチブラケット装置:歯にブラケットを付けてワイヤーを通し、歯を動かす矯正装置です。
幅広い症例に対応でき、歯を正確に動かします。固定式で、患者様自身で取り外しはできません。
当院ではセルフライゲーションブラケット装置(クリッピー、デーモンシステム)を導入しており、
ワイヤーをゴムで固定せずシャッターで保持するため、摩擦が少なく痛みが軽減され、治療期間も短縮されます。